Case Reports
Aspiration of anteriorly migrated dexamethasone implant using an 18G intravenous cannula
Intravitreal dexamethasone (Ozurdex 0.7mg) is a biodegradable, sustained-release implant used to manage diabetic macular oedema, macular oedema secondary to retinal vein occlusion, and non-infectious posterior uveitis due to its anti-inflammatory effects and VEGF suppression [1]. While effective, the implant may...
Two cases of acute syphilitic posterior placoid chorioretinitis
Syphilis has re-emerged as a significant public health concern, with the World Health Organization (WHO) estimating that 8 million adults aged 15–49 acquired syphilis in 2022. Untreated syphilis can have severe consequences, including cardiovascular, neurological and ocular complications. Ocular manifestations...
Corneal hysteresis: An emerging biomarker in the management of glaucoma
Corneal hysteresis (CH) is gaining recognition as a valuable parameter in the management of glaucoma. Corneal hysteresis is defined as the difference between the inward and outward pressure responses of the cornea during deformation. This measurement reflects the viscoelastic properties...
Like a moth to AC flare: CMV-associated hypertensive anterior uveitis
Hypertensive anterior uveitis can present a diagnostic challenge to clinicians working in emergency eye departments. While prompt initial control of intraocular pressure (IOP) and inflammation is essential, elucidating the underlying aetiology is critical for long-term visual outcomes. When there is...
Shedding light on Wolfram syndrome: The unveiling of a delayed diagnosis
Wolfram syndrome 1 (WS1) was first described by Wolfram and Wagener in 1938 and it’s a rare neurodegenerative, progressive disorder, also known as DIDMOAD (diabetes insipidus, diabetes mellitus, optic atrophy, and deafness) [1]. We present an atypical case of WS...
Progressive myelination of the retinal nerve fibre layer: Acquired or incidental?
*Co-first authors.Myelinated retinal nerve fibres are retinal nerve fibres encased by a myelin sheath, located anterior to the lamina cribrosa [1]. First described by Virchow in 1856, a myelinated retinal nerve fibre layer (RNFL) appears as a whitish, feathery patch...
Vision on the line: Managing orbital trauma in a 30-year-old surgeon after a football injury
Blunt orbital trauma is a common consequence of sports injuries. Although retrobulbar haemorrhage is frequently associated with orbital compartment syndrome (OCS), the severity of clinical signs can outweigh imaging findings. Early recognition and intervention, such as lateral canthotomy and cantholysis...
Crystalline keratopathy in monoclonal gammopathy of undetermined significance
Monoclonal gammopathies encompass a group of plasma cell disorders characterised by the excessive production of abnormal monoclonal immunoglobulins in the bloodstream [1]. This category includes multiple myeloma, monoclonal gammopathy of undetermined significance (MGUS), amyloidosis and other lymphoproliferative disorders. Monoclonal gammopathy...
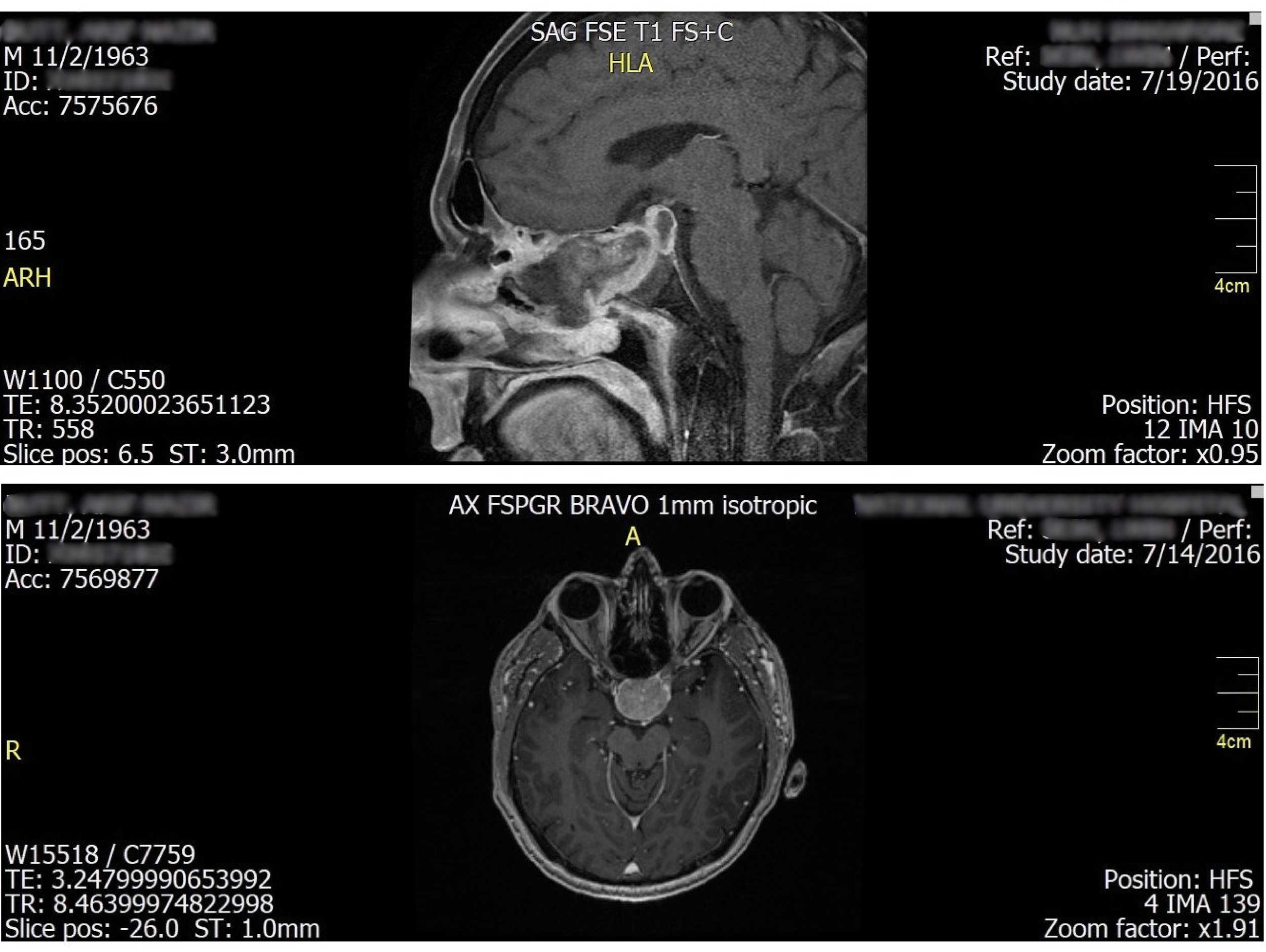
Behind the eyes: Unravelling the mystery of a painless progressive proptosis
Orbital fungal infections have the potential to give rise to serious complications. While these infections typically originate in the sinuses, patients may initially exhibit ocular symptoms. As a result of the diverse and often vague clinical manifestations (especially during the...
Pigmented paravenous retinochoroidal atrophy
Presentation A 46-year-old Caucasian female was referred to the eye clinic by her local optician following a routine sight test. She was noted to have pigmentary retinal changes in both eyes but was asymptomatic with no visual complaints. At presentation...
Presumed DALK stromal graft rejection following Covid-19 infection
Case report A 45-year-old healthy male patient with a past ocular history of keratoconus and right deep-anterior lamellar keratoplasty (DALK) graft performed 10 months prior, presented to our eye casualty clinic with a two-day history of right photophobia and epiphora....
Neurofibromatosis with multiple bilateral choroidal nevi and literature review
The aim is to present a case of neurofibromatosis type-1 (NF-1), also known as von Recklinghausen disease, who presented with bilateral multiple choroidal nodular nevi following chemotherapy and mastectomy for breast cancer. Neurofibromatosis type-1 presents as a wide range of...


