In this case report series, the author examines the incidence of ocular injuries sustained during game shooting in Scotland between 2012–2018.
Precise figures for ocular injuries sustained during game shooting are not available. According to Police Scotland, there were 43,790 shotgun certificates on issue and 2743 visitor permits granted for shotguns by 31 March 2025 [1].
The cases described in this report occurred over the period 2012–2018 within Scotland. No reports were found in peer-reviewed journals. The author was involved in two of the cases, and when a further three cases were reported during a Scottish Ophthalmology Club meeting in 2018, it was felt that reporting these five cases would be worthwhile. Even without exact figures, it is safe to say that serious eye injuries sustained during game shooting are very rare.
But whatever the statistics say, if you happen to be the victim, or the shooter, you are 100% involved. Shotgun cartridges typically contain about 175 pellets (No.6 shot), and the pellets ‘spray’ over a wide area (see figures). The eye is at a high risk (55% to 100%) of being hit with shot pellets at ranges of 15 to 40 yards [2]. Ocular shotgun pellet injuries can be devastating [3,4].
Case reports
The cases quoted were seen first hand by Scottish ophthalmologists. Case reports have been anonymised.
Case one
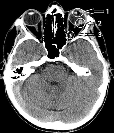
A grouse shooter was hit in the left eye by a fellow shooter at a range of 10–15m; 12-gauge, No. 6 shot was used. A pellet passed through the globe, lodging in the posterior orbit. Restorative surgery was not possible, and enucleation was carried out.

CT scan from case one, annotated: Arrow 1 (top) indicates a gap in the lens of the left eye, which has been bisected by the pellet; arrow 2 (middle) indicates a break in posterior pole of the eye, where the pellet passed through the retina and the sclera; arrow 3 (bottom) indicates the pellet, lying posteriorly in the orbit.
Case two
A beater on a grouse shoot was hit in the right eye at a range of about 100m; 12-gauge, No. 6 shot was used. A pellet contacted, but did not penetrate, the globe. It caused a conjunctival laceration, but the underlying sclera was intact. The pellet bounced off the eye and lodged just inferior to the globe. Full recovery was made after removal of the pellet, with no ocular sequelae.

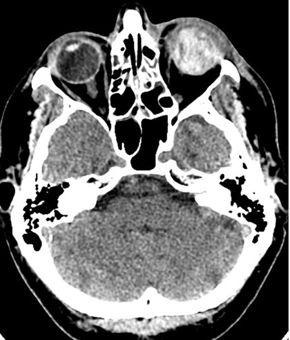
CT scan case three: The left eye is completely disrupted with no internal recognisable features. The globe is protruding forwards due to swelling of the soft tissues within the orbit.
Case three
A pheasant shooter, holding a shotgun pointed towards the ground, was looking upwards to find a pheasant at which to aim, and was hit in left eye by the beak of a falling pheasant. The shooter suffered transient loss of consciousness and was found lying next to the dead pheasant. There was complete disruption of the globe, which was later enucleated.
Case four
A fox shooter, in a line of guns, was struck in the right eye at range of about 35m by a shot gun pellet, which passed through the globe, lodging in the posterior orbit. Despite prompt surgery, the result was phthisis bulbi. Removal of the pellet was neither necessary nor possible.
Case five
A pheasant shooter was hit in the left eye by a fellow shooter at a range of about 30m. The pellet struck the globe but failed to penetrate. Distortion of the eyeball caused hyphaema, which resolved spontaneously. There was full recovery with no ocular sequelae.

Shotgun cartridge: Showing the contents of a No. 6 shot, 30g cartridge: approximately 175 individual lead pellets, each pellet 2.5mm diameter, total mass of all pellets 30g.

Shotgun target showing the scatter of shotgun pellets over a target where the outer edge of the orange rings measure 32cm, and the central yellow area corresponds roughly to the size of a human face. No. 6 shot, range 10m. Scatter increases with distance, and becomes very wide once the range increases beyond 10m. Pheasants are usually struck by very few pellets, and ocular injuries usually are caused by a single pellet.
Discussion
The injury caused at the furthest range (case two) had a lucky outcome probably because the momentum of a pellet decreases with distance, and at 100m the kinetic energy of the pellet was too low for penetration of the globe to take place. Although the range in case five was only 30m, it is likely that the pellet struck the globe a glancing blow, enough for distortion but not for penetration, and the outcome was again lucky.
In all three cases where blindness of the injured eye resulted, the remaining eye was perfectly normal. Loss of the eyesight of one eye is a disaster, but not a complete catastrophe. Almost all activities that we do with two eyes can also be done with one, including driving with an ordinary licence [5]; there are millions of one-eyed people in the world leading perfectly normal lives. The main advantage of having two good eyes is having one spare eye. Two good eyes are necessary for some occupations such as HGV driving [6], piloting an aircraft and entry into most armed forces. The victim in case five, a gamekeeper, unfortunately lost their dominant eye, so had to re-train to shoot with an adapted shotgun using the non-dominant, remaining eye.
In the three close-range cases, the shooters would have had no excuse for not seeing their victims. No matter how well shooters understand that pointing a gun at a person should be a ‘never event’, such incidents are likely to continue happening, and this may well be a factor for shooters choosing to wear eye protection routinely. It has been suggested that polycarbonate protective eyewear with integral side shields and headbands should be worn by all involved with shotgun sports [2].
Even though the injuries may be described as ‘accidental’, the results can be serious and permanent for the victim, and a permanent sense of guilt and regret may be felt by the shooter.
References
1. https://view.officeapps.live.com/op/view.aspx?src=https
%3A%2F%2Fwww.scotland.police.uk%2Fspa-media%2Fhtrh2krj%2F
firearms-licensing-statistical-publication-2024-2025.docx
2. Varr WF, Cook RA. Shotgun eye injuries, ocular risk and eye protection efficacy. Ophthalmology 1992;99(6):867–72.
3. Shah FQ, Asif J, Syed TQ. Perforating ocular trauma due to shotgun pellet - clinical profile and visual outcome. Indian J Ophthalmol 2021;69(5):1224–9.
4. Khoueir Z, Cherfan G, Assi A. Vitreoretinal surgery for shotgun eye injuries: outcomes and complications. Eye (Lond) 2015;29(7):881–7.
5. Godber G. Living with one eye. Br Med J (Clin Res Ed) 1981;282(6281):2042–3.
6. www.gov.uk/monocular-vision-and-driving
[All links last accessed March 2026]
Acknowledgements:
Both CT images and information concerning cases 1–3 were kindly supplied from a poster presentation at The Scottish Ophthalmological Club spring meeting, 2018: ‘Case series demonstrating the range of ocular trauma associated with game shooting’, by Patel S, Tendo C, Johnstone P, Murgatroyd H, and Gillan S. Cases four and five were seen by the author during the period 2012–2016.


