Pituitary adenomas classically cause bitemporal hemianopia by compressing the optic chiasm. However, in some cases, the pattern of visual field loss may be atypical and mimic homonymous hemianopia, depending on the direction and extent of tumour expansion. Spectral-domain optical coherence tomography (SD-OCT) of the retinal nerve fibre layer (RNFL) can provide valuable early clues by revealing characteristic patterns of nerve fibre loss, which may be helpful in localising the site of injury [1].
Case report
A 52-year-old Southeast Asian male presented with a three-month history of intermittent dark visual phenomena in bright light, described as lines and spots, along with a temporal visual field defect in the right eye. He had a history of well-controlled hypertension for three years, with no diabetes or ischemic heart disease. His systemic medications included ramipril, atorvastatin, and aspirin. There was no known drug allergy.
On examination, his unaided visual acuity was 6/12 in the right eye and 6/9 in the left eye, improving to 6/9 and 6/6 respectively with pinhole correction. Anterior segment examination was unremarkable with quiet anterior chambers and no relative afferent pupillary defect (RAPD). Media were clear in both eyes.
Fundoscopy showed a grossly healthy optic disc appearance in both eyes without pallor or cupping. OCT RNFL showed reduced average thickness in the right eye (71µm) compared to the left (83µm). Thinning was most notable in the temporal quadrant (44µm, flagged as red) and to a lesser extent in nasal (48µm, yellow), while superior and inferior quadrants were relatively preserved. The 12-clock hour map showed focal thinning, particularly at the eight o’clock position, corresponding to the temporal quadrant. Disc topography showed a vertical cup-to-disc ratio of 0.81 and a reduced rim volume of 0.15mm³, suggestive of significant structural asymmetry. The left eye showed preserved overall thickness but subtle changes in the inferior-temporal region on the 36-sector map. These findings indicated early retrograde degeneration, despite a relatively preserved-appearing disc on fundoscopy.

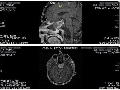
Figure 1: Gadolinium-enhanced MRI (T1-weighted sagittal and axial views) showing a 2.9 × 2.8 × 2.8 cm homogeneously enhancing pituitary macroadenoma compressing the optic chiasm.
Automated visual field testing (Humphrey Field Analyzer, SITA-Standard 30-2) revealed a right homonymous hemianopia. In both eyes, there was a dense, congruous defect in the superior nasal and temporal quadrants, with relative sparing of the inferior field. Mean deviation was −14.88dB in the right eye and −19.09dB in the left. Visual field testing was reliable in both eyes, with fixation losses of 0%, and minimal false positive and false negative errors.
Magnetic resonance imaging of the brain and orbit revealed a pituitary macroadenoma compressing the optic chiasm. The lesion did not clearly extend to involve the optic tract, but its mass effect was sufficient to explain the homonymous-like field loss, likely due to asymmetric or lateralised chiasmal compression.
The patient underwent endonasal endoscopic transsphenoidal hypophysectomy with gross total resection of the tumour. Histopathology confirmed a non-functioning pituitary adenoma with negative immunohistochemical staining for ACTH, GH and prolactin.
After surgery, there was some initial improvement in his vision, but later follow-ups showed his visual field had returned to how it was before, with the right temporal loss still present. He recovered well without complication and continued thyroxine replacement.
Discussion
SD OCT of the RNFL is a valuable non-invasive imaging technique that allows early detection of structural changes in optic nerve. In compressive optic neuropathies, such as pituitary adenomas, OCT can reveal characteristic patterns of RNFL or ganglion cell layer (GCL) thinning that correspond to specific visual field defects which often correlate with specific visual field defects [2].

Figure 2: Spectral-domain OCT RNFL (Topcon Triton) and Humphrey visual fields (30-2, HFA3) for both eyes. Right eye (right side of figure) shows temporal RNFL thinning and a dense superior visual field defect. Left eye (left side of figure) demonstrates subtle RNFL asymmetry with a congruous superior field defect. Findings are consistent with a right homonymous hemianopia secondary to chiasmal compression.
In this case, the patient’s RNFL thinning corresponded with a predominantly homonymous-like visual field defect, which, though atypical, can still result from pituitary adenoma. While bitemporal hemianopia is classically associated with chiasmal compression, variations in tumour growth and individual anatomy may lead to non-classical field patterns [3]. Studies have shown that pituitary tumours with lateral or asymmetrical chiasmal compression may produce field defects resembling altitudinal or even homonymous patterns [4]. Chiasmal lesions, such as pituitary adenomas, can lead to retrograde degeneration of retinal ganglion cells, seen as thinning of the RNFL or GCL on OCT [5]. Such early identification can prompt timely neuroimaging and diagnosis.
Studies have highlighted the role of SD-OCT RNFL analysis in diagnosing compressive optic neuropathies, particularly in differentiating between glaucomatous and non-glaucomatous optic neuropathies [6]. This case emphasises that unexplained or asymmetric RNFL thinning on OCT should raise suspicion for a compressive lesion, even when the classical bitemporal visual field defect is absent.
Early surgical decompression generally leads to better visual outcomes, especially in patients with intact RNFL, as it helps prevent further axonal loss and allows for some functional recovery [7]. In our patient’s case, there was some initial improvement in the visual field after the transsphenoidal resection, but this later declined back to preoperative levels, likely due to the degree of irreversible axonal damage already present at the time of surgery.
Following transsphenoidal resection in our patient, postoperative care focused on ensuring nasal hygiene and wound healing to prevent complications such as infection or cerebrospinal fluid leaks. Headache management and surveillance for recurrence or residual mass via repeat imaging were also essential components of follow-up.
This case highlights the importance of combining OCT RNFL findings with clinical examination and visual field testing for a detailed assessment of patients presenting with unexplained visual field defects. It also supports the use of OCT RNFL as a helpful additional tool in early diagnosis and management planning of patients with retro-chiasmal pathology.
TAKE HOME MESSAGES
-
OCT RNFL analysis can reveal characteristic thinning patterns that raise early suspicion for compressive optic pathway lesions, even in atypical cases.
-
In cases of atypical visual field defects, OCT helps differentiate optic nerve pathology from post-chiasmal causes.
-
Early identification of RNFL changes allows timely neuroimaging and referral.
-
Collaboration between ophthalmology and neurology /neurosurgery is essential for managing patients with compressive optic pathway lesions.
-
OCT is a rapid, non-invasive, and widely available tool in both primary and secondary care settings.
References
1. Shin JW, Uhm KB, Lee WJ, Kim YJ. Diagnostic ability of retinal nerve fiber layer maps to detect localized retinal nerve fiber layer defects. Eye (Lond) 2013;27(7):839–46.
2. Huang-Link Y-M, Petre B, Lindehammar H, et al. Homonymous Hemimacular Ganglion Cell Layer Loss Detectable by SD-OCT: A Biomarker of Retrochiasmal Visual Pathway Lesion. JSM Biomark 2018;2(1).
3. Kerrison JB, Lynn MJ, Baer CA, et al. Stages of improvement in visual fields after pituitary tumor resection. Am J Ophthalmol 2000;130(5):813–20.
4. Danesh-Meyer HV, Carroll SC, Foroozan R, et al. Relationship between retinal nerve fiber layer and visual field sensitivity as measured by optical coherence tomography in chiasmal compression. Invest Ophthalmol Vis Sci 2006;47(11):4827–35.
5. Tang RA, Sharma S. Ophthalmic presentations of pituitary adenoma. Collaborative EYE 2020:
https://collaborativeeye.com/articles/2020-nov-dec/
ophthalmic-presentations-of-pituitary-adenoma
6. www.aao.org/editors-choice/oct-can-distinguish
-compressive-from-glaucomatous
7. Danesh-Meyer HV, Wong A, Papchenko T, et al. Optical coherence tomography predicts visual outcome for pituitary tumors. J Clin Neurosci 2015;22(4):591–7.
[All links last accessed October 2025]
Declaration of competing interests: None declared.


