Trainees archive for 2017
Laser corneal refractive procedures – a review
Evolution of refractive surgery stays true to the quote of Theodore Roosevelt: “The more you know about the past, the better prepared you are for the future.” Refractive surgery is an evolving field, which thanks modern technologies for refining ideas...
How I overcame the hurdle that is the FRCOphth Part 1
The FRCOphth Part 1 is one of the most difficult exams in ophthalmology training, with an exam pass rate of 39.6% over the last 12 months (compared to 60.8% for FRCOphth Part 2 oral [60.8%] and written [68.7%]). Stack the...
Technology in ophthalmology – a promising future and what we need to know about the regulations
Undoubtedly, ophthalmology is one of the greatest sources of inspiration for technological progress in medicine. Thus far, we have seen remarkable advancements in the technology used by ophthalmologists across all subspecialties. From simplifying common procedures, to treating previously incurable conditions,...
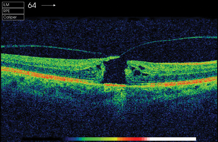
Macular holes: A brief review
The classification of macular holes has been modernised by OCT findings. This is a brief review and encompasses the historical literature on macular holes. A macular hole is an anatomical discontinuation of the neurosensory retina at the centre of the...
Light in darkness – manual small incision cataract surgery in India
Cataract has been documented to be the most significant cause of bilateral blindness in India, where vision <20/200 in the better eye on presentation is defined as blindness [1,2]. Estimation of blindness in India by the World Health Organization (WHO)...
Don’t ignore the black lesion! It might be mucormycosis
Keeping mucormycosis infection in the foreground of your differential diagnosis, especially in those more vulnerable patients, will help save their lives if recognised and managed appropriately. Mucormycosis is a fulminant infection caused by the fungi of the family Mucoraceae. It...
A closed angle seldom comes alone
Case report An 89-year-old lady with dementia was referred to me out of hours by her GP with a few days history of an angry looking left eye for suspected elevated intraocular pressure (IOP). I discovered that this lady first...
Toxoplasmosis and the associated retinochoroiditis: important facts and when to treat
Annie SeeWah Tung provides an overview of toxoplasmosis retinochoroiditis, including guidance on which cases should be treated and the treatment options. Toxoplasmosis retinochoroiditis is an infectious condition that is characterised by retinochoroidal lesions commonly in the posterior pole and is...
Simulation in ophthalmology: a pedagogic viewpoint
The advent of simulation technology has enhanced modern medical training. The first utilisation of simulation was in 1929 where Edward Link used this concept to develop a mechanical flight simulator [1]. Industries such as aviation, nuclear power and the military...
Corneal dystrophies simplified
Based on biomicroscopic and histopathologic features, corneal dystrophies can be broadly classified into epithelial, Bowman’s layer / anterior stromal, stromal, and endothelial dystrophies. Corneal dystrophies are a group of inherited, bilateral, gradually progressing, non- inflammatory conditions caused by accumulation of...
A log in the eye
"My friend wanted to show how far he could throw that log. So, he helicoptered it over his head, faster and faster and when he let go, it hit my eye at full speed,” a young lady of 19 years...


