Top Tips archive for 2018
Headaches in ophthalmology (part 2)
Ophthalmologists see a large number of patients with headaches or facial pain in the ophthalmic outpatient clinics or in emergency clinics. Over two articles, I will discuss several causes of headaches, ocular manifestations and proposed management and referral options. It...
Headaches in ophthalmology (part 1)
Ophthalmologists see a large number of patients with headaches or facial pain in the ophthalmic outpatient clinics or in emergency clinics. Over two articles, I will discuss several causes of headaches, ocular manifestations and proposed management and referral options. It...
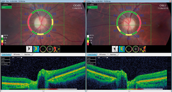
What not to miss in neuro-ophthalmology Part 2
As mentioned previously there are several conditions in neuro-ophthalmology that should not be missed by the general ophthalmologist as well as ophthalmology trainees. We discussed in the first part some of these conditions including third cranial nerve palsies, giant cell...
What not to miss in neuro-ophthalmology Part 1
Neuro-ophthalmology is a complex and difficult subspecialty in ophthalmology. It has several connections to neurology, neuro-surgery, rheumatology as well as many other medical specialties. Working in an multidisciplinary team (MDT) environment is key to success in this subspecialty as mistakes...
A practical guide to anisocoria
Anisocoria means the presence of difference in the size of the right and left pupils. It is a sign of an abnormality in the efferent pathway. The first question facing the ophthalmologist is to ascertain if anisocoria is present or...


